DICOM PS3.17 2019a - Explanatory Information

OO Structured Display (Informative)

OO.1 Structured Display Use Cases

OO.1.1 Dentistry

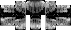
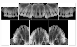
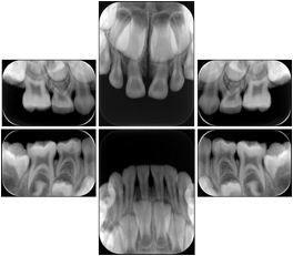
Intra-oral radiography typically involves acquisition of multiple images of various parts of the dentition. Many digital radiographic systems offer customized templates that are used for displaying the images in a study on the screen. These templates may also be referred to as mounts or view sets. The Structured Display Object represents a standard method of encoding and exchanging the layout and intended display of Structured Displays. A structured display object created in this manner could be stored with a study and exchanged with images to allow for complete reproduction of the original exam.

  1. A patient visits a General Dentist where a Full Mouth Series Exam with 18 images is acquired. The dentist observes severe bone loss and refers the patient to a Periodontist. The 18 images from the Full Mouth Series along with a Structured Display are copied to a DICOM Interchange CD and sent with the patient to see the specialist. The Periodontist uses the CD to open the exam in his Dental Radiographic Software and consults via phone with the General Dentist. Both are able to observe the same exam showing the images on each user's display using the exact same layout.

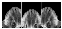
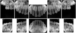
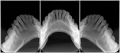
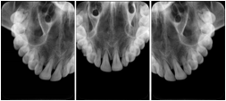
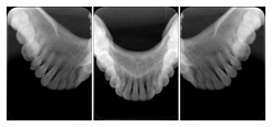
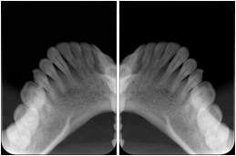
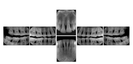
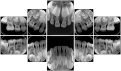
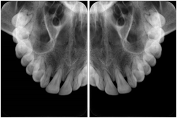
    Intra-oral Full Mouth Series Structured Display

    Figure OO-1. Intra-oral Full Mouth Series Structured Display


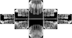
  2. A patient requests cosmetic surgery to enhance their facial appearance. The case requires consultation between an orthodontist in New York and an oral surgeon in California. The cephalometric series of 2D projections constructed from the volumetric CT data that is used for the discussion is arranged by a Structured Display for transfer between the two practitioners.

    Cephalometric Series Structured Display

    Figure OO-2. Cephalometric Series Structured Display


  3. A dental provider wishes to capture a series of DICOM IO images for the patient’s dentition. The tooth morphology, teeth are divided into molars, premolars, canines and incisors, and a number of images for each jaw. The anatomic information was captured utilizing the triplet of schema. This standard code sequence is based on ISO 3950-2010, Dentistry - Designation system for teeth and areas of the oral cavity.

    Every IO image should have anatomic information either through the primary or modifier sequence.

    In most standard cases, images are oriented in structured layouts. These structured displays are useful to be shared between providers for reference purposes.

    Table OO.1.1-1 shows structured display standard templates, where Viewset ID is based on the Japanese Society for Oral and Maxillofacial Radiology (JSOMR) classification provided by JIRA (Japan Medical Imaging and Radiological Systems Industries Association, www.jira-net.or.jp). Expected or typical teeth to be imaged location, region and designation codes are based on ISO 3950-2010, Dentistry - Designation system for teeth and areas of the oral cavity. For all the hanging protocols listed in OO.1.1-1, the value to use for Hanging Protocol Creator (0072,0008) is "JSOMR" and the value to use for Hanging Protocol Name (0072,0002) does not include "JSOMR" (e.g., "DL-S001A", not "JSOMR DL-S001A").

Table OO.1.1-1. Hanging Protocol Names for Dental Image Layout based on JSOMR classification

Hanging Protocol Name

Image Location Code

Image Size

ISO Teeth Designation (typical)

10 Standard A Dental Image Layout

DL-S001A

Reference:

00

18, 17, 16, 15

01

14, 13, 12

02

12, 11, 21, 22

03

22, 23, 24

04

25, 26, 27, 28

10

48, 47, 46, 45

11

44, 43, 42

12

42, 41, 31, 32

13

32, 33, 34

14

35, 36, 37, 38

10 Standard+2 Bitewing A Dental Image Layout

DL-S002A

Layout A Reference:

00

18, 17, 16, 15

01

14, 13, 12

02

12, 11, 21, 22

03

22, 23, 24

04

25, 26, 27

10

47, 46, 45

11

44, 43, 42

12

42, 41, 31, 32

13

32, 33, 34

14

35, 36, 37

20

18, 17, 16, 15,

48, 47, 46, 45

24

25, 26, 27,28,

35, 36, 37, 38

10 Standard A Dental Image Layout

DL-S003A

Reference:

00

18, 17, 16, 15

01

14, 13, 12

02

12, 11

03

21, 22

04

22, 23, 24

05

25, 26, 27, 28

10

48, 47, 46, 45

11

44, 43, 42

12

42, 41

13

31, 32

14

32, 33, 34

15

35, 36, 37, 38

Standard A Dental Image Layout

DL-S004A

Reference:

00

18, 17, 16

01

16, 15, 14

02

14, 13, 12

03

12, 11, 21, 22

04

22, 23, 24

05

24, 25, 26

06

26, 27, 28

10

48, 47, 46

11

46, 45, 44

12

44, 43, 42

13

42, 41, 31, 32

14

32, 33, 34

15

34, 35, 36

16

36, 37, 38

14 Standard B­­ Dental Image Layout

DL-S004B

Reference:

00

18, 17, 16

01

16, 15, 14

02

14, 13, 12

03

12, 11, 21, 22

04

22, 23, 24, 25

05

24, 25, 26, 27

06

25, 26, 27, 28

10

48, 47, 46, 45

11

47, 46, 45, 44

12

44, 43, 42

13

42, 41, 31, 32

14

32, 33, 34

15

34, 35, 36, 37

16

35, 36, 37, 38

14 Standard+4 Bitewing A Dental Image Layout

DL-S005A

Reference:

00

18, 17, 16, 15

01

17, 16, 15, 14

02

14, 13, 12, 11,

03

12, 11, 21, 22

04

21, 22, 23, 24,

05

24, 25, 26

06

25, 26, 27, 28

10

48, 47, 46, 45

11

46, 45, 44, 43

12

44, 43, 42

13

42, 41, 31, 32

14

32, 33, 34

15

34, 35, 36, 35

16

35, 36, 37, 38

20

18, 17, 16, 15, 48,

47, 46, 45

21

17, 16, 15, 14, 13, 47, 46, 45,

44, 43

25

23, 24, 25, 26, 27, 33,

34, 35, 36, 37

26

25, 26, 27, 28, 35, 36,

37, 38

Standard+4 Bitewing A Dental Image Layout

DL-S005B

Reference:

1

18, 17, 16, 15

2

17, 16, 15, 14, 13,

3

15, 14, 13, 12,

4

14, 13, 12, 11,

5

13, 12, 11, 21, 22, 23,

6

21, 22, 23, 24,

7

22, 23, 24, 25,

8

23, 24, 25, 26, 27,

9

25, 26, 27, 28

10

17, 16, 15, 14,

11

16, 15, 14, 13

12

23, 24, 25, 26,

33, 34, 35, 36,

13

24, 25, 26, 27, 28

34, 35, 36, 37, 38

14

48, 47, 46, 45,

15

47, 46, 45, 44, 43

16

45, 44, 43, 42,

17

42, 41, 31, 32,

18

32, 33, 34, 35,

19

33, 34, 35, 36, 37,

20

35, 36, 37, 38

16 Standard A Dental Image Layout

DL-S006A

Reference:

00

18, 17, 16, 15

01

16, 15, 14, 13

02

14, 13, 12

03

12, 11,

04

21, 22

05

22, 23, 24

06

23, 24, 25, 26

07

25, 26, 27, 28

10

48, 47, 46, 45

11

46, 45, 44

12

44, 43, 42

13

42, 41

14

31, 32

15

32, 33, 34

16

34, 35, 36, 37

17

35, 36, 37, 38

16 Standard B Dental Image Layout

DL-S006B

Reference:

00

18, 17, 16, 15

01

17, 16, 15, 14

02

14, 13, 12

03

12, 11

04

21, 22

05

22, 23, 24

06

24, 25, 26

07

26, 27, 28

10

48, 47, 46, 45

11

47, 46, 45, 44

12

44, 43, 42

13

42, 41

14

31, 32

15

32, 33, 34

16

34, 35, 36, 37

17

35, 36, 37, 38

5 Bitewing Dental Image Layout

DL-S007A

Reference:

20

Standard

18, 17, 16, 48,

47, 46

21

17, 16, 15, 14, 13, 47, 46, 45,

44, 43

22

Pedodontic

12, 11, 21, 22,

32, 31, 41, 42

23

Standard

23, 24, 25, 26, 2733,

34, 35, 36, 37

24

26, 27, 28, 35, 36,

37, 38

6 Standard Pedodontic A Dental Image Layout

DL-P001A

Reference:

00

Pedodontic

16, 55, 54, 53

01

52, 51, 61, 62

02

63, 64, 65, 26

10

46, 85, 84, 83,

11

82, 81, 71, 72

12

73, 74, 75, 36

6 Standard Pedodontic B Dental Image Layout

DL-P001B

Reference:

00

Pedodontic

16, 55, 54, 53

01

52, 51, 61, 62

02

63, 64, 65, 26

10

46, 85, 84, 83

11

82, 81, 71, 72

12

73, 74, 75, 36

6 Standard Pedodontic C Dental Image Layout

DL-P001C

Reference:

00

Pedodontic

16, 54, 53, 52

01

Standard

52, 51, 61, 62

02

Pedodontic

63, 64, 65, 26

10

46, 85, 84, 83

11

Standard

82, 81, 71, 72

12

Pedodontic

73, 74, 75, 36

6 Standard Pedodontic D Dental Image Layout

DL-P001D

Reference:

00

Pedodontic

16, 54, 53, 52

01

Standard

52, 51, 61, 62

02

Pedodontic

63, 64, 65, 26

10

46, 85, 84, 83

11

Standard

82, 81, 71, 72

12

Pedodontic

73, 74, 75, 36

6 Standard Pedodontic + 2 bitewing layout A Dental Image Layout

DL-P002A

Reference:

00

Pedodontic

16, 55, 54, 53

01

52, 51, 61, 62

02

63, 64, 65, 26

10

46, 85, 84, 83

11

82, 81, 71, 72

12

73, 74, 75, 35

20

16, 55, 54, 53, 46, 85, 84, 83

22

63, 64, 65, 16, 73, 74, 75, 36

6 Standard Pedodontic + 2 bitewing layout B Dental Image Layout

DL-P002B

Reference:

00

Pedodontic

16, 55, 54, 53

01

52, 51, 61, 62

02

63, 64, 65, 26

10

46, 85, 84, 83

11

82, 81, 71, 72

12

73, 74, 75, 36

20

16, 55, 54, 53, 46, 85,

84, 83

22

63, 64, 65, 26, 73,

74, 75, 36

6 Standard Pedodontic + 2 bitewing layout C Dental Image Layout

DL-P002C

Reference:

00

Pedodontic

16, 55, 54, 53

01

Standard

52, 51, 61, 62

02

Pedodontic

63, 64, 65, 26

10

46, 85, 84, 83

11

Standard

82, 81, 71, 72

12

Pedodontic

73, 74, 75, 36

20

16, 55, 54, 53, 46, 85,84, 83

22

63, 64, 65,26 73,74,75, 36

6 Standard Pedodontic + 2 bitewing layout D Dental Image Layout

DL-P002D

Reference:

00

Pedodontic

16, 54, 53, 52

01

Standard

52, 51, 61, 62

02

Pedodontic

63, 64, 65, 26

10

46 85, 84, 83

11

Standard

82, 81, 71, 72

12

Pedodontic

73, 74, 75, 36

20

16, 55, 54, 53, 85, 46

84, 83

22

63, 64, 65, 26, 73,

74,75, 36

10 Standard Pedodontic A Dental Image Layout

DL-P003A

Reference:

00

Pedodontic

55, 54

01

54, 53, 52

02

Standard

52, 51, 61, 62

03

Pedodontic

62, 63, 64

04

64, 65

10

85, 84

11

84, 83, 82

12

Standard

82, 81, 71, 72

13

Pedodontic

72, 73, 74

14

74, 75

10 Standard Pedodontic B Dental Image Layout

DL-P003B

Reference:

00

Pedodontic

16, 55, 54, 53

01

54, 53, 52

02

Standard

52, 51, 61, 62

13

Pedodontic

62, 63, 64

14

63, 64, 65, 26

10

85, 84, 83

11

84, 83, 82

12

Standard

82, 81, 71, 72

13

Pedodontic

72, 73, 74

14

73, 74, 75, 36

10 Standard Pedodontic C Dental Image Layout

DL-P003C

Reference:

00

Pedodontic

16, 55, 54

01

54, 53, 52

02

Standard

52, 51, 61, 62

13

Pedodontic

62, 63, 64

14

64, 65

10

46, 85, 84

11

84, 83, 82

12

Standard

82, 81, 71, 72

13

Pedodontic

72, 73, 74

14

74, 75, 36

10 Standard Pedodontic D Dental Image Layout

DL-P003D

Reference:

00

Pedodontic

16, 55, 54, 53

01

54, 53, 52

02

Standard

52, 51, 61, 62

03

Pedodontic

62, 63, 64

04

63, 64, 65, 26

10

46, 85, 84, 83

11

84, 83, 82

12

Standard

82, 81, 71, 72

13

Pedodontic

72, 73, 74

14

73, 74, 75, 36

10 Standard Pedodontic E Dental Image Layout

DL-P003E

Reference:

00

Pedodontic

16, 55, 54, 53

01

54, 53, 52

02

Standard

52, 51, 61, 62

03

Pedodontic

62, 63, 64

04

63, 64, 65, 26

10

46, 85, 84, 83

11

84, 83, 82

12

82, 81, 71, 72

13

72, 73, 74

14

73, 74, 75, 36

10 Standard Pedodontic F Dental Image Layout

DL-P003F

Reference:

00

Standard

16, 55, 54

01

54, 53, 52

02

52, 51, 61, 62

03

62, 63, 64

04

64, 65, 26

10

Pedodontic

46, 85, 84

11

84, 83, 82

12

Standard

82, 81, 71, 72

13

Pedodontic

72, 73, 74

14

74, 75, 36

10 Standard Pedodontic G Dental Image Layout

DL-P003G

Reference:

00

Standard

16, 55, 54

01

54, 53, 52

02

52, 51, 61, 62

03

62, 63, 64

04

64, 65, 26

10

Pedodontic

46, 85, 84

11

84, 83, 82

12

Standard

82, 81, 71, 72

13

Pedodontic

72, 73, 74

14

74, 75, 36

2 Occlusal Vertical Maxilla A Dental Image Layout

DL-C001A

Reference: DL-C001-U1L0

Reference: DL-C001-U2L0

00

Occlusal

18, 17, 16, 15, 14, 13, 12, 11, 13, 12, 11

01

21, 22, 23, 24, 25, 26,27, 28

2 Occlusal Vertical Mandible A Dental Image Layout

DL-C002A

Reference: DL-C002-U0L1

Reference: DL-C002A-U0L2

10

Occlusal

48, 48, 47, 46, 45, 44, 43, 42, 41

11

31, 32, 33, 34, 35, 36, 37, 38

2 Occlusal Horizontal Maxilla A Dental Image Layout

DL-C003A

Reference: DL-C003-U1L0

Reference: DL-C003-U2L0

00

Occlusal

18, 17, 16, 15, 14, 13, 12, 11, 13, 12, 11, 21, 22, 23, 24, 25, 26,27, 28

01

18, 17, 16, 15, 14, 13, 12, 11, 13, 12, 11, 21, 22, 23, 24, 25, 26,27, 28

2 Occlusal Horizontal Mandible A Dental Image Layout

DL-C004A

Reference: DL-C004-U0L1

Reference: DL-C004-U0L2

10

Occlusal

48, 48, 47, 46, 45, 44, 43, 42, 41, 31, 32, 33, 34, 35, 36, 37, 38

11

48, 48, 47, 46, 45, 44, 43, 42, 41, 31, 32, 33, 34, 35, 36, 37, 38

3 Occlusal Vertical Maxilla A Dental Image Layout

DL-C005A

Reference: DL-C005A-U1L0

Reference: DL-C005A-U2L0

00

Occlusal

18, 17, 16, 15, 14, 13, 12, 11, 13, 12, 11, 21, 22, 23

01

17, 16, 15, 14, 13, 12, 11, 13, 12, 11, 21, 22, 23, 24, 25, 26, 27

02

13, 12, 11, 13, 12, 11, 21, 22, 23, 24, 25, 26, 27, 28

3 Occlusal Vertical Mandible A Dental Image Layout

DL-C006A

Reference: DL-C006A-U0L1

Reference: DL-C006A-U0L2

10

Occlusal

48, 48, 47, 46, 45, 44, 43, 42, 41, 31, 32, 33

11

48, 48, 47, 46, 45, 44, 43, 42, 41, 31, 32, 33, 34, 35, 36, 37, 38

12

43, 42, 41, 31, 32, 33, 34, 35, 36, 37, 38

6 Occlusal Vertical A Dental Image Layout

DL-C007A

Reference: DL-C007-U1L1

Reference: DL-C007-U1L2

Reference: DL-C007-U2L1

Reference: DL-C007-U2L2

00

Occlusal

18, 17, 16, 15, 14, 13, 12, 11

01

16, 15, 14, 13, 12, 11, 13, 12, 11, 21, 22, 23, 24, 25, 26

02

21, 22, 23, 24, 25, 26,27, 28

10

48, 48, 47, 46, 45, 44, 43, 42, 41

11

48, 48, 47, 46, 45, 44, 43, 42, 41, 48, 48, 47, 46, 45, 44, 43, 42, 41

12

48, 48, 47, 46, 45, 44, 43, 42, 41

5 Standard + Occlusal Maxilla A Dental Image Layout

DL-C008A

Reference: DL-C008-U1L0

Reference: DL-C008-U2L0

00

Standard

18, 17, 16

01

15, 14, 13

02

12, 11, 21, 22

03

23, 24, 25

04

26, 27, 28

05

Occlusal

18, 17, 16, 15, 14, 13, 12, 11, 13, 12, 11, 21, 22, 23

06

16, 15, 14, 13, 12, 11, 13, 12, 11, 21, 22, 23, 24, 25, 26

07

13, 12, 11, 21, 22, 23, 24, 25, 26,27, 28

5 Standard + 3 Occlusal Mandible A Dental Image Layout

DL-C009A

Reference: DL-C009-U0L1

Reference: DL-C009-U0L2

10

Standard

47, 46, 45

11

44, 43, 42

12

42, 41, 31, 32

13

32, 33, 34

14

35, 36, 37

15

Occlusal

48, 47, 46, 45, 44, 43, 42, 41, 31, 32, 33

16

46, 45, 44, 43, 42, 41, 31, 32, 33, 34, 35, 36

17

43, 42, 41, 31, 32, 33, 34, 35, 36, 37, 38

7 Standard + 3 Occlusal Maxilla A Dental Image Layout

DL-C010A

Reference: DL-C010A-U1L0

Reference: DL-C010A-U2L0

00

Standard

18, 17, 16

01

16, 15, 14

02

14, 13, 12

03

12, 11, 21, 22

04

22, 23, 24

05

24, 25, 26

06

26, 27, 28

07

Occlusal

18, 17, 16, 15, 14, 13, 12, 11, 13, 12, 11, 21, 22, 23

08

16, 15, 14, 13, 12, 11, 13, 12, 11, 21, 22, 23, 24, 25, 26

09

13, 12, 11, 21, 22, 23, 24, 25, 26,27, 28

7 Standard + 3 Occlusal Maxilla B Dental Image Layout

DL-C010B

Reference: DL-C010B-U1L0

Reference: DL-C010B-U2L0

00

Standard

18, 17, 16

01

16, 15, 14

02

14, 13, 12

03

12, 11, 21, 22

04

22, 23, 24

05

24, 25, 26

06

26, 27, 28

07

Occlusal

48, 47, 46, 45, 44, 43, 42, 41, 31, 32, 33

08

46, 45, 44, 43, 42, 41, 31, 32, 33, 34, 35, 36

09

43, 42, 41, 31, 32, 33, 34, 35, 36, 37, 38

7 Standard + 3 Occlusal Mandible A Dental Image Layout

DL-C011A

Reference: DL-C011A-U0L1

Reference: DL-C011A-U0L2

10

Standard

48, 47, 46

11

46, 45, 44

12

44, 43, 42

13

42, 41, 31, 32

14

32, 33, 34

15

34, 35, 36

16

36, 37, 38

17

Occlusal

18, 17, 16, 15, 14, 13, 12, 11, 13, 12, 11, 21, 22, 23

18

16, 15, 14, 13, 12, 11, 13, 12, 11, 21, 22, 23, 24, 25, 26

19

13, 12, 11, 21, 22, 23, 24, 25, 26,27, 28

7 Standard + 3 Occlusal Mandible B Dental Image Layout

DL-C011B

Reference: DL-C011B-U0L1

Reference: DL-C011B-U0L2

10

Standard

48, 47, 46

11

46, 45, 44

12

44, 43, 42

13

42, 41, 31, 32

14

32, 33, 34

15

34, 35, 36

16

36, 37, 38

17

Occlusal

48, 47, 46, 45, 44, 43, 42, 41, 31, 32, 33

18

46, 45, 44, 43, 42, 41, 31, 32, 33, 34, 35, 36

19

43, 42, 41, 31, 32, 33, 34, 35, 36, 37, 38

6 Standard + 4 Bitewing C Dental Image Layout

DL-P002E

Reference:

01

Standard

11, 12, 21, 22

11

32, 31, 41, 42

20

Bitewing

18, 17, 16, 15, 48, 47, 46, 45

21

17, 16, 15, 14 47, 46, 45, 44

23

27, 26, 25, 24, 37, 36, 35, 34

24

28, 27, 26, 25, 38, 37, 36, 35


OO.1.2 Ophthalmology

  1. A patient in rural Canada visits a general ophthalmologist and is found to have diabetic macular edema. The general ophthalmologist would like to discuss the case with a retina specialist before performing laser surgery. A fluorescein angiogram is done with multiple retinal images taken in a timed series after an intravenous injection. The images along with a Structured Display are shared via a Health Information Exchange with a retina specialist in Calgary, who opens them using his Ophthalmology EMR software and consults via phone with the general ophthalmologist. Both physicians view the images in the same layout so the retina specialist can provide accurate guidance for treating the patient.

  2. A patient in rural Iowa visits his primary care physician for management of diabetes. Three non-mydriatic (patient's eyes are not dilated) photographs are taken of the back of each eye, and forwarded electronically along with a Structured Display to an ophthalmologist in Iowa City. The ophthalmologist reads the photos in an agreed upon layout so there is no mistake about what portion of which eye is being viewed. The ophthalmologist is able to tell the primary care physician that his patient does not need to come to Iowa City for face to face ophthalmologic care, but that there is a particular view of the left eye that should be photographed again in 6 months.

    Ophthalmic Retinal Study Structured Display

    Figure OO-3. Ophthalmic Retinal Study Structured Display


  3. A patient in rural Minnesota experiences sudden vision loss and goes to a general ophthalmologist, who acquires OCT images and forwards them electronically along with a Structured Display to a retina specialist six travel hours away. The retina specialist is able to view the images in the standard layout that he is comfortable with, and to confirm that the patient has a choroidal neovascular membrane. He determines that is would be worthwhile for the patient to travel for treatment.

    OCT Retinal Study with Cross Section and Navigation Structured Display

    Figure OO-4. OCT Retinal Study with Cross Section and Navigation Structured Display


OO.1.3 Cardiology

Cardiac stress testing acquires images in at least two patient states, rest and stress, and typically with several different views of the heart to highlight function of different cardiac anatomic regions. Image review typically involves simultaneous display of the same anatomy at two patient states, or multiple anatomic views at one patient state, or even simultaneous display of multiple anatomic views at multiple states. This applies to all cardiac imaging modalities, including ultrasound, nuclear, and MR. The American College of Cardiology and American Society of Nuclear Medicine have adopted standard display layouts for nuclear cardiology rest-stress studies.

Stress Echocardiography Structured Display

Figure OO-5. Stress Echocardiography Structured Display


Stress-Rest Nuclear Cardiography Structured Display

Figure OO-6. Stress-Rest Nuclear Cardiography Structured Display


OO.1.4 Radiology

  • A radiologist on his PACS assembles a screen layout of a stack of CT images of a current lung study, a secondary capture of a 3-D rendering of the CT, and a prior chest radiograph for the patient. He adjusts the window width / window level for the CT images, and zooms and annotates the radiograph to clearly indicate the tumor. He saves a Structured Display object representing that screen layout, including Grayscale Softcopy Presentation State objects for the CT WW/WL and the radiograph zoom and annotation. During the weekly radiology department conference, on an independent (non-PACS) workstation, he accesses the Structured Display object, and the display workstation automatically loads and places the images on the display, and presents them with the recorded WW/WL, zoom settings, and annotations.

  • A mammographer reviews a screening exam on a mammo workstation. She wishes to discuss the exam with the patient's general practitioner, who does not have a mammo-specific workstation. She saves a structured display, with presentation states for each image that replicate the display rendered by the mammo workstation (scaling, horizontal and vertical alignment, view and laterality annotation, etc.).

    Mammography Structured Display

    Figure OO-7. Mammography Structured Display


DICOM PS3.17 2019a - Explanatory Information